Radiate Your Smile With Natural Looking Veneers
Our custom-made dental veneers will completely transform your teeth, giving you the confidence to shine.
Would You Like to Transform Your Smile and Boost Your Confidence?
Benefits of Dental Veneers
Stain Resistance
Teeth veneers are highly resistant to stains, making them ideal for masking discoloured or stained teeth.
Quick and Easy
Long Lasting
Veneers are highly durable and can last between 10 to 20 years or more, providing a long lasting, beautiful smile.
What Are the Types of Veneers?
Veneers are crafted from either porcelain or resin composite materials, each offering unique benefits. Deciding which option is best for you depends on your individual needs and preferences. Our dentists will guide you through the advantages and considerations of both types to help you make an informed choice.
Porcelain Veneers
Known for their durability and natural appearance, porcelain veneers are highly resistant to stains and can last 15 years or longer with proper care. They are custom-made to match the colour and shape of your natural teeth, providing a seamless look.
Resin Composite Veneers
Made from resin material, composite veneers are a more affordable option but generally don’t last as long as porcelain veneers. They can be completed in a single visit and are easier to repair if damaged.
Veneer Treatment Process at Tendler Dental
Before we begin, a thorough dental exam is conducted to ensure your teeth and mouth are healthy. We will also discuss your treatment options and answer any questions you may have.
Photographs and models of your teeth are taken to help plan your veneer treatment.
The procedure starts with carefully trimming your dental enamel to ensure a perfect fit for the veneers. A model of your teeth is then created to customise the veneers.
Once ready, the veneers are placed on your teeth and bonded securely, completing your smile transformation.
Our experienced dentists are dedicated to helping you achieve the smile you’ve always desired with high-quality porcelain veneers.
Why Choose Tendler Dental
Tendler Dental was first established over 30 years ago, offering the local community a dentist in Hawthorn East and Melbourne that was affordable, accessible, highly qualified and have a range of veneer services to patients of all ages.
Tendler Dental’s Dr Samuel Lawrence (Bachelor of Dental Science, Melbourne University), Dr Cynthia Ma DDS (Hons) BBMed (Hons) and Dr Diana Sebastian BDSc (Hons) continue to set the standard in family-friendly dental veneers serviced.
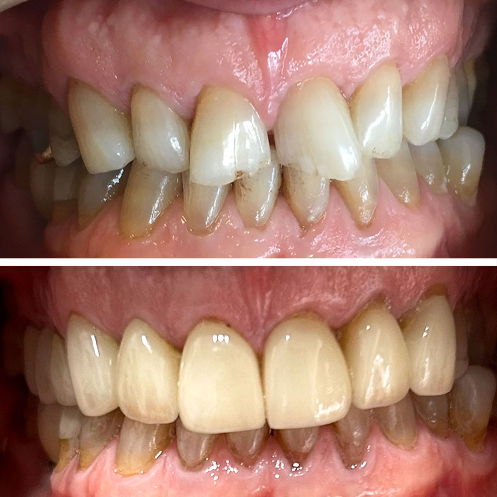
Before And Afters
Closing the gap with resin composite veneers.
Smile makeover with lateral composite veneers.
Correcting chipped teeth with direct resin veneers.
Closing the gap with resin composite veneers.
Smile makeover with lateral composite veneers.
Correcting chipped teeth with direct resin veneers.
Porcelain Veneers
Frequently Asked Questions
What are dental veneers?
Dental veneers are wafer-thin, custom-made shells designed to cover the front surface of your teeth. Typically crafted from porcelain or composite resin, they are bonded to your teeth to enhance their appearance.
Veneers can dramatically whiten your smile and correct issues like discolouration, gaps, chips, and misalignment. Each veneer is carefully designed to fit your teeth, ensuring a natural and seamless look.
Do I need dental veneers?
Consider dental veneers if you want to fix discoloured, chipped, or uneven teeth, close small gaps, or correct minor misalignment. Veneers offer a quick and effective way to enhance your smile.
During your consultation at Tendler Dental, we assess the health of your teeth, your bite, and your long-term goals to determine if veneers suit your needs. We provide a personalised treatment plan with clear options and costs, so you know exactly what to expect.
How do veneers colour correct your teeth?
Veneers cover the front surface of your teeth with a custom-made shell, masking stains, discolouration, or uneven colouring. Unlike whitening treatments, veneers allow you to choose a specific shade for a brighter, more uniform smile.
How long do dental veneers last?
Dental veneers are highly durable and can easily last for 10 to 20 years or more with proper care.
Maintaining good oral hygiene, including regular brushing and flossing, along with routine dental check-ups, will help ensure the longevity of your veneers.
Do veneers hurt?
Getting veneers typically doesn’t hurt. You may feel slight sensitivity during tooth preparation or after placement, but it usually goes away quickly.
Should I get porcelain or composite veneers?
The choice between porcelain and composite veneers depends on your goals and budget. Porcelain veneers are more durable, natural-looking, and resistant to stains, making them ideal for long-term results. Composite veneers are more affordable and can be applied in a single visit but may not last as long and are more prone to staining.
During your consultation, our dentists will discuss your needs and recommend the best option for you.
What are porcelain veneers?
Porcelain veneers are thin ceramic coverings designed to improve the appearance of chipped, discoloured, or crooked teeth.
These veneers protect your teeth and enhance their colour, shape, and alignment.
Advancements in dentistry have made these veneers remarkably similar to real dental enamel, so no one will even know you are wearing them.
How do porcelain veneers work?
Porcelain veneers work by covering the front surface of your teeth. The enamel of your teeth will be trimmed and shaped for a proper fit.
Impressions of your teeth are taken to create customised veneers. Once ready, the veneers are bonded to the front of your teeth, immediately improving their colour, shape, and alignment.
What dental problems and conditions do veneers help?
Veneers can address a range of dental issues, including discoloured, chipped, or worn teeth. They also help close small gaps, correct minor misalignment, and improve the shape or size of uneven teeth. Veneers are an excellent solution for enhancing your smile when other treatments, like whitening or braces, may not be suitable.
Should I avoid certain foods if I have veneers?
Yes, to protect your veneers, avoid biting into hard foods like ice, nuts, or hard candies, as they can chip or damage the veneers. Limit sticky foods like toffee or caramel, which may loosen them. Additionally, reduce consumption of staining foods and drinks, such as coffee or curry, especially if you have composite veneers, as they are more prone to staining. Regular care and mindful eating will help maintain your veneers.






